Especialidades
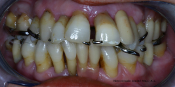
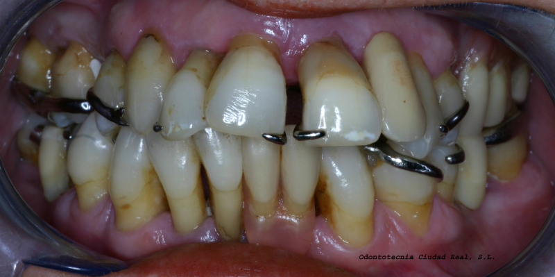
GOTERA - Prótesis de Estabilización Periodontal Esquelética.( P.E.P.E.)
Es un dispositivo reversible que se utiliza como tratamiento coadyuvante para las periodontopatías. Con este aparato se evita la movilidad dental y así organizar un buen soporte dentario, sujetando todas las piezas con una estructura metálica.
El objetivo básico de la prótesis periodontal es eliminar interferencias y contactos prematuros ( prematuridades ).
Las indicaciones y los fines que tienen que ser capaces de aportarnos las goteras son:
- Anular la información nociceptiva ( alteración oclusal).
- Contrarrestar las fuerzas oclusales anómalas, que se conseguirá con la inmovilización dentaria.
- Reposición de piezas dentales.
Los articuladores que se deben emplear para la realización de prótesis en enfermos periodontales, son articuladores totalmente ajustables y a lo sumo semiajustables tipo ARCON, siempre individualizando los registros.
Diversos autores achacan la movilidad dental a problemas de trauma oclusal como son:
“Las desarmonías oclusales son relaciones dentarias capaces de lesionar los tejidos periodontales de soporte”. GLISMAN
“La eliminación completa de las bolsas, importante como es, es nula si no se obtiene una estabilidad de la función”. MAX KORNFELD.
“Existen dos factores independientes que causan movilidad dentaria, la enfermedad periodontal y las fuerzas oclusales. Está ampliamente aceptado que las fuerzas oclusales pueden crear una reabsorción del soporte óseo lateral del diente.” OKESON
El objetivo básico de la prótesis periodontal es eliminar interferencias y contactos prematuros ( prematuridades ).
Las indicaciones y los fines que tienen que ser capaces de aportarnos las goteras son:
- Anular la información nociceptiva ( alteración oclusal).
- Contrarrestar las fuerzas oclusales anómalas, que se conseguirá con la inmovilización dentaria.
- Reposición de piezas dentales.
Los articuladores que se deben emplear para la realización de prótesis en enfermos periodontales, son articuladores totalmente ajustables y a lo sumo semiajustables tipo ARCON, siempre individualizando los registros.
Diversos autores achacan la movilidad dental a problemas de trauma oclusal como son:
“Las desarmonías oclusales son relaciones dentarias capaces de lesionar los tejidos periodontales de soporte”. GLISMAN
“La eliminación completa de las bolsas, importante como es, es nula si no se obtiene una estabilidad de la función”. MAX KORNFELD.
“Existen dos factores independientes que causan movilidad dentaria, la enfermedad periodontal y las fuerzas oclusales. Está ampliamente aceptado que las fuerzas oclusales pueden crear una reabsorción del soporte óseo lateral del diente.” OKESON





926250770