Articulos Publicados
Porque elegirnos como laboratorio dental
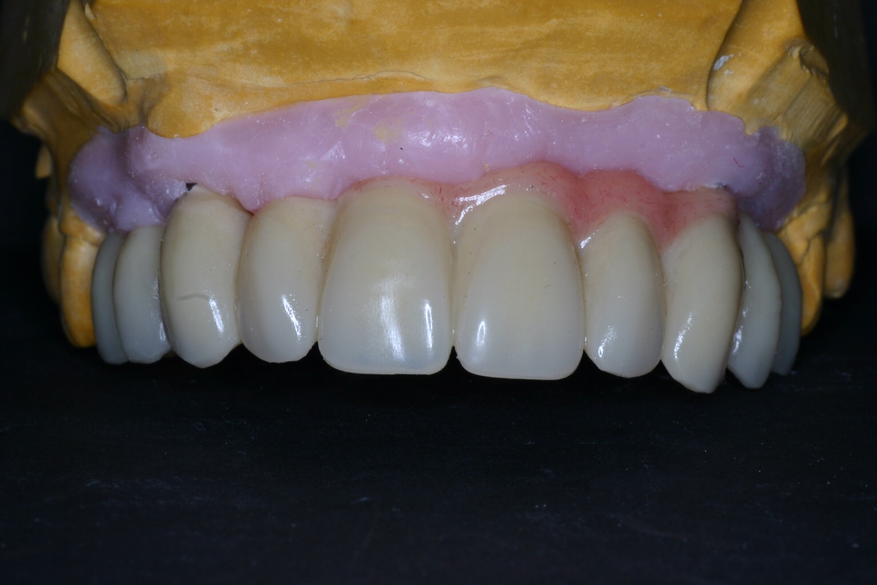
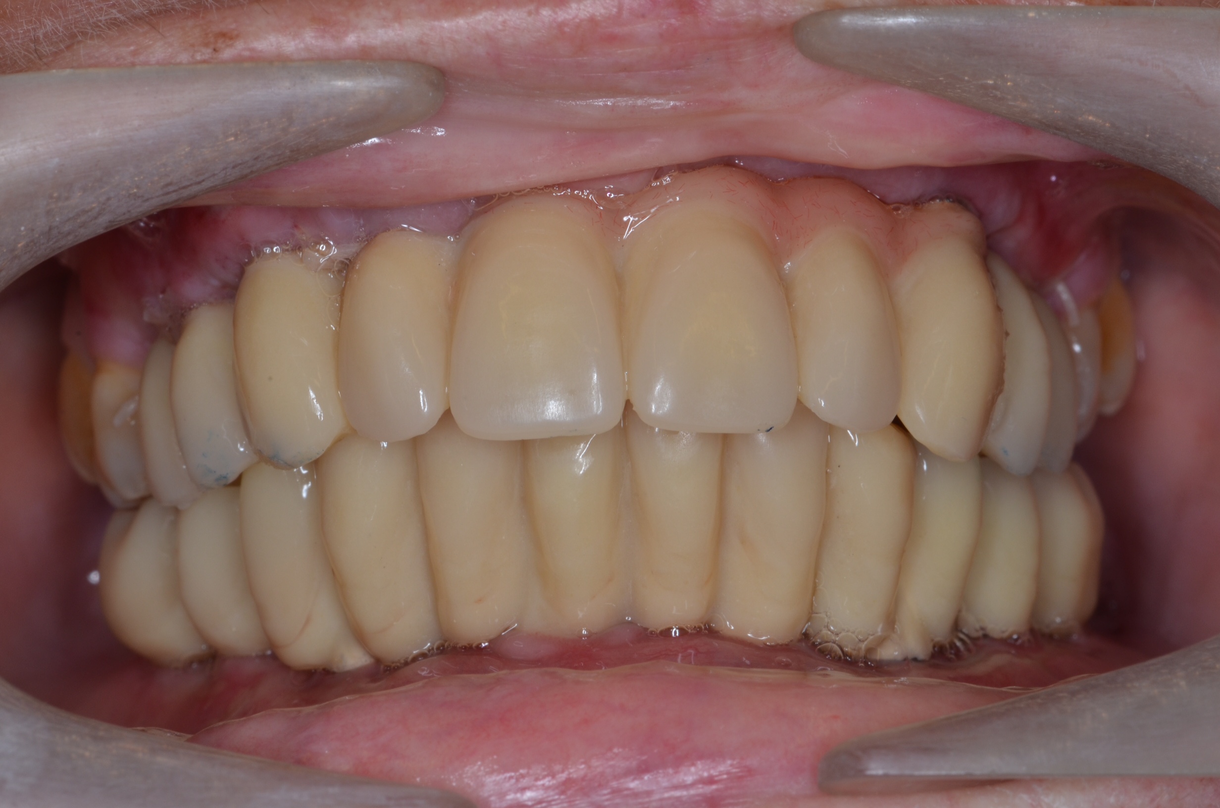
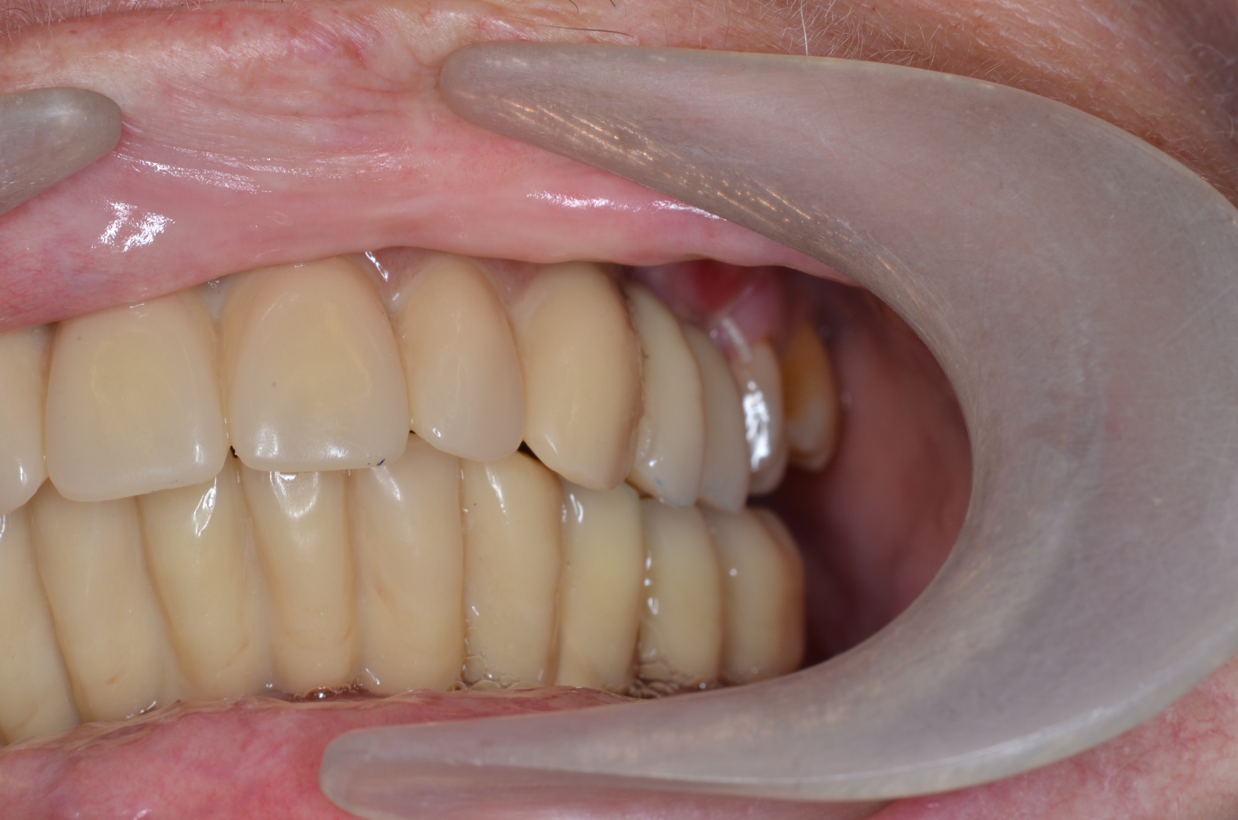
En nuestro laboratorio de prótesis dental no solo nos preocupamos de la perfecta armonía visual - estética de los casos que nos son confiados, sino además estamos en permanente comunicación con nuestros clínicos, con el fin de lograr una óptima función al finalizar los tratamientos.
Producto de esa colaboración y constante comunicación, sumado al estudio minucioso de cada caso y la utilización de equipamientos de alta tecnología hacen que nuestros servicios marquen la diferencia y que mantengamos esa inquietud de querer seguir brindando lo mejor.
Producto de esa colaboración y constante comunicación, sumado al estudio minucioso de cada caso y la utilización de equipamientos de alta tecnología hacen que nuestros servicios marquen la diferencia y que mantengamos esa inquietud de querer seguir brindando lo mejor.
Enviar un Mensaje
INFORMACIÓN PROTECCIÓN DE DATOS DE ODONTOTECNIA CIUDAD REAL, S.L.U.Finalidades: Responder a sus solicitudes y remitirle información comercial de nuestros productos y servicios, incluso por correo electrónico. Legitimación: Consentimiento del interesado. Destinatarios: No están previstas cesiones de datos. Derechos: Puede retirar su consentimiento en cualquier momento, así como acceder, rectificar, suprimir sus datos y demás derechos en odontotecni@hotmail.com.Información Adicional: Puede ampliar la información en el enlace de Avisos Legales.
926250770









