Presentación Laboratorio Dental
Odontotecnia Ciudad Real, S.L.U. es un laboratorio de prótesis dental que nace en el año 1992 de la mano de su socio fundador Javier Muro Castedo, quien con mucha ilusión deja su camino en solitario iniciado en 1985, para seguir creciendo como profesional, ampliando así su línea de servicios.
Se encuentra ubicado en el centro de Ciudad Real, siendo uno de los laboratorios pioneros del sector dental de Castilla la Mancha. Se caracteriza por estar a la vanguardia de todos los avances tecnológicos y cuyo principal objetivo es ofrecer el mejor servicio y la mas alta calidad.
Se encuentra ubicado en el centro de Ciudad Real, siendo uno de los laboratorios pioneros del sector dental de Castilla la Mancha. Se caracteriza por estar a la vanguardia de todos los avances tecnológicos y cuyo principal objetivo es ofrecer el mejor servicio y la mas alta calidad.
Trayectoria
En estos 20 años de trayectoria del laboratorio, Javier Muro Castedo , ha realizado muchos esfuerzos para seguir con éxito en este mundo que cada día se vuelve mas competitivo y lo hace con la constante incorporación de nuevas tecnologías, que le ayudan a seguir avanzando y lograr mantener la excelencia en nuestros servicios.
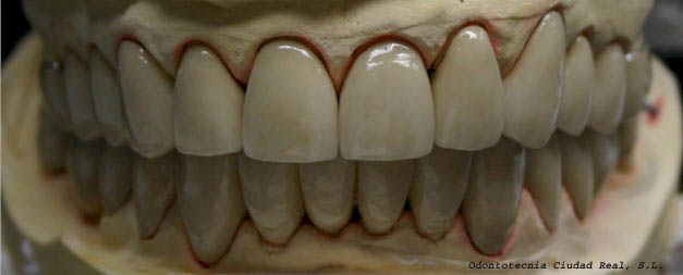
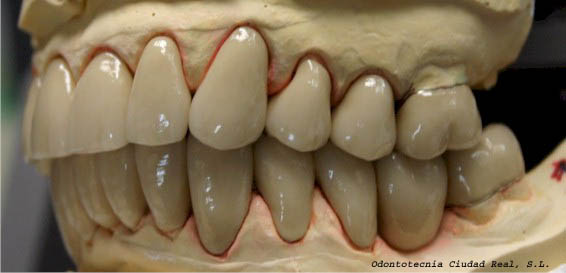
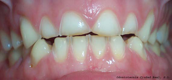
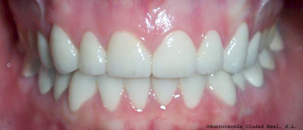
Para nosotros, nuestra premisa es la de satisfacer todas las expectativas y conseguir que el resultado final de cada uno de los tratamientos que nos confían nuestros clínicos, sean funcional y estéticamente satisfactorios para los pacientes.
Por eso en Odontotecnia no solo apostamos por la tecnología y la innovación, también lo hacemos por nuestro mejor capital, el equipo humano, incentivando su constante formación, ampliando sus conocimientos, porque consideramos que la excelencia de nuestro trabajo se consigue con la dedicación de todos y cada uno de ellos.
Para nosotros, nuestra premisa es la de satisfacer todas las expectativas y conseguir que el resultado final de cada uno de los tratamientos que nos confían nuestros clínicos, sean funcional y estéticamente satisfactorios para los pacientes.
Por eso en Odontotecnia no solo apostamos por la tecnología y la innovación, también lo hacemos por nuestro mejor capital, el equipo humano, incentivando su constante formación, ampliando sus conocimientos, porque consideramos que la excelencia de nuestro trabajo se consigue con la dedicación de todos y cada uno de ellos.
Nuestro laboratorio es:
Javier Muro Castedo
Gerente de Odontotecnia Ciudad Real, S.L.U. desde 1992 hasta la actualidad.
Se inicia en el mundo dental en el año 1983 estudiando en el Centro Europeo de Ortodoncia (CEOSA) – Madrid, donde recibe el titulo de “Técnico de Laboratorio de Prótesis Dental“ en el año 1985, realizando paralelamente su formación complementaria con el distinguido Dr. Prof. JOSE RAMON CASADO LLOMPART.
Desde entonces sigue en su camino con mucho afán, logrando destacarse como protésico por su incansable búsqueda de crecimiento profesional, realizando constantes cursos de perfeccionamiento dentro y fuera del país.
En el año 1995 pasa a formar parte del Departamento I ( Prótesis Bucofacial ) de la Facultad de Odontología, en la Universidad Complutense de Madrid, como Asistente-Monitor-Instructor para el profesorado en el curso de Formación Clínica y Tecnológica de Prótesis Estomatológica hasta 1999. En ese mismo año y hasta el periodo académico del 2011, se desempeña como Instructor-Monitor en el Titulo Propio “Especialista en Disfunción del Aparato Estomatognático” y "Especialista en A.T.M. y Oclusión" en la misma Universidad.
Dictante de Cursos y Conferencias de DCM ( Disfunción Cráneo-Mandibular )
Autor de diversos artículos del ramo profesional.
Año 2009 – 2010. Coautor del Curso de “ Implantoprótesis” para el Programa de Formación Continuada. Ilustre Consejo General de Colegios de Odontólogos y Estomatólogos de España. Universidad Rey Juan Carlos.
Año 2009 – 2010. Profesor del Curso Superior Universitario en “ Implantoprótesis” Formación Continuada en la Universidad Rey Juan Carlos.
Año 2009 – 2011. Profesor del Titulo Propio “Especialista en A.T.M. y Oclusión “ Departamento de Estomatología I ( Prótesis Bucofacial ) Facultad de Odontología de la Universidad Complutense de Madrid.
Enero 2011. Profesor. “Curso Semipresencial de Disfunción y Patología en la Articulación Temporo Mandibular”. Universidad Rey Juan Carlos.
Junio 2012. Profesor. “Curso Semipresencial de Disfunción y Patología en la Articulación Temporo Mandibular”. Universidad Rey Juan Carlos.
Junio 2012. Profesor. “Curso Implantoprótesis”. Universidad Rey Juan Carlos.






926250770